microscope

Bienvenue sur l’Atlas du Muscle

Welcome to the Muscle Atlas

fr en

Bienvenue sur l’Atlas du Muscle, la première base de données d'images de muscles conçue pour faciliter la recherche, le diagnostic et la connaissance dans le domaine des pathologies neuromusculaires. Notre vaste collection comprend plus de 6 416 images de biopsies musculaires provenant de patients atteints de diverses maladies et de modèles animaux, qui peuvent être en cours de traitement ou non. Chaque image est caractérisée en fonction de l'état spécifique et du stade correspondant de la maladie.
Nous vous invitons à explorer la richesse des informations disponibles dans l’Atlas du Muscle et à contribuer aux avancées en cours dans la recherche et le traitement des pathologies neuromusculaires en nous proposant vos contributions.
N'hésitez pas à nous contacter pour obtenir plus d'informations et collaborer dans la perspective d’améliorer la vie des malades neuromusculaires.

L'inscription à l'Atlas du Muscle est gratuite, vous donnant un accès complet à la base de données, y compris la possibilité de télécharger les images.

Welcome to the Muscle Atlas, the first database of muscle images designed to facilitate research, diagnosis and knowledge in the field of neuromuscular pathologies. Our vast collection includes more than 6,416 images of muscle biopsies from patients with various diseases and animal models, which may or may not be undergoing treatment. Each image is characterised according to the specific condition and corresponding stage of the disease.
We invite you to explore the wealth of the information available in the Muscle Atlas and to contribute to ongoing advances in the research and treatment of neuromuscular pathologies by offering us your contributions.
Please do not hesitate to contact us for further information and to collaborate in improving the lives of neuromuscular patients.

The registration on the Muscle Atlas is free, granting you full access to the database, including the ability to download images.

Bienvenue sur l’Atlas du Muscle

Welcome to the Muscle Atlas

fr en

Bienvenue sur l’Atlas du Muscle, la première base de données d'images de muscles conçue pour faciliter la recherche, le diagnostic et la connaissance dans le domaine des pathologies neuromusculaires. Notre vaste collection comprend plus de 6 416 images de biopsies musculaires provenant de patients atteints de diverses maladies et de modèles animaux, qui peuvent être en cours de traitement ou non. Chaque image est caractérisée en fonction de l'état spécifique et du stade correspondant de la maladie.
Nous vous invitons à explorer la richesse des informations disponibles dans l’Atlas du Muscle et à contribuer aux avancées en cours dans la recherche et le traitement des pathologies neuromusculaires en nous proposant vos contributions.
N'hésitez pas à nous contacter pour obtenir plus d'informations et collaborer dans la perspective d’améliorer la vie des malades neuromusculaires.

L'inscription à l'Atlas du Muscle est gratuite, vous donnant un accès complet à la base de données, y compris la possibilité de télécharger les images.

Welcome to the Muscle Atlas, the first database of muscle images designed to facilitate research, diagnosis and knowledge in the field of neuromuscular pathologies. Our vast collection includes more than 6,416 images of muscle biopsies from patients with various diseases and animal models, which may or may not be undergoing treatment. Each image is characterised according to the specific condition and corresponding stage of the disease.
We invite you to explore the wealth of the information available in the Muscle Atlas and to contribute to ongoing advances in the research and treatment of neuromuscular pathologies by offering us your contributions.
Please do not hesitate to contact us for further information and to collaborate in improving the lives of neuromuscular patients.

The registration on the Muscle Atlas is free, granting you full access to the database, including the ability to download images.

Disease Group
Diag Final
Gene
Staining Method
Organism
Age
Muscle
Sex
{{filteredDocuments.length}} images found
| Remove all filters | Back to basic search
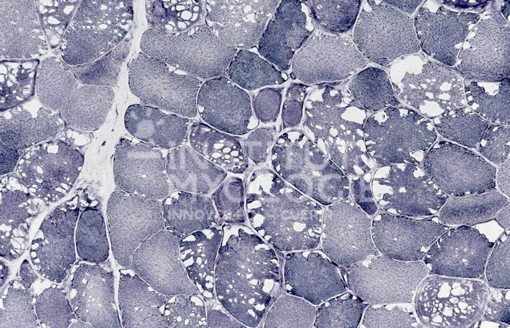
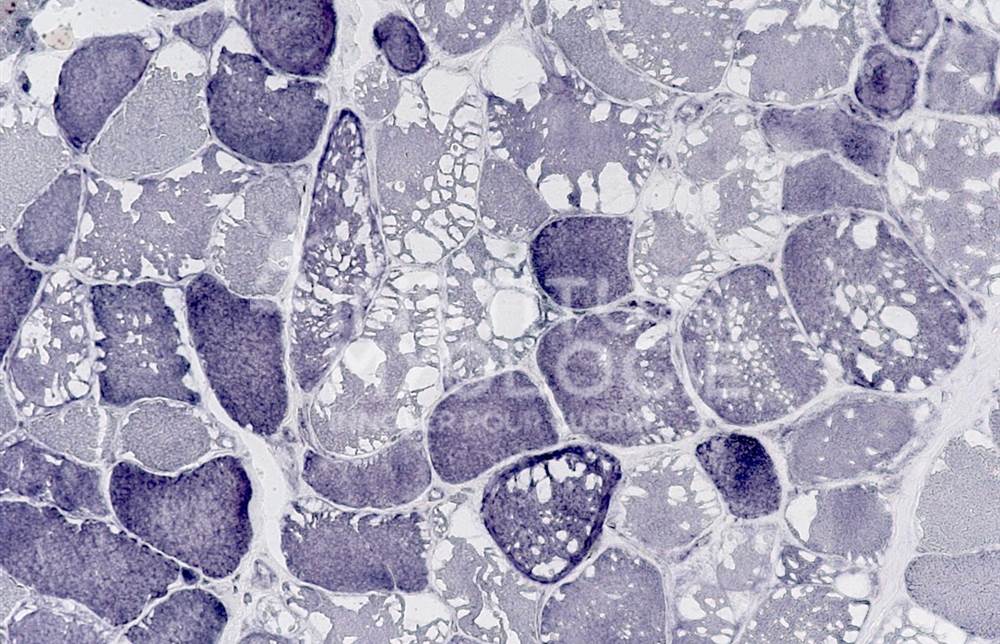
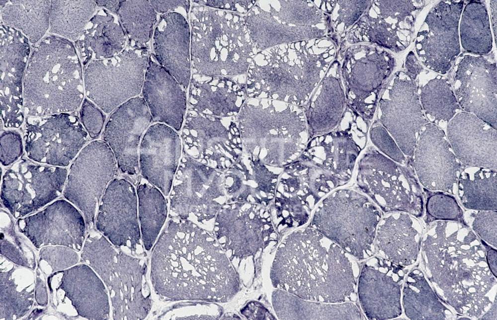
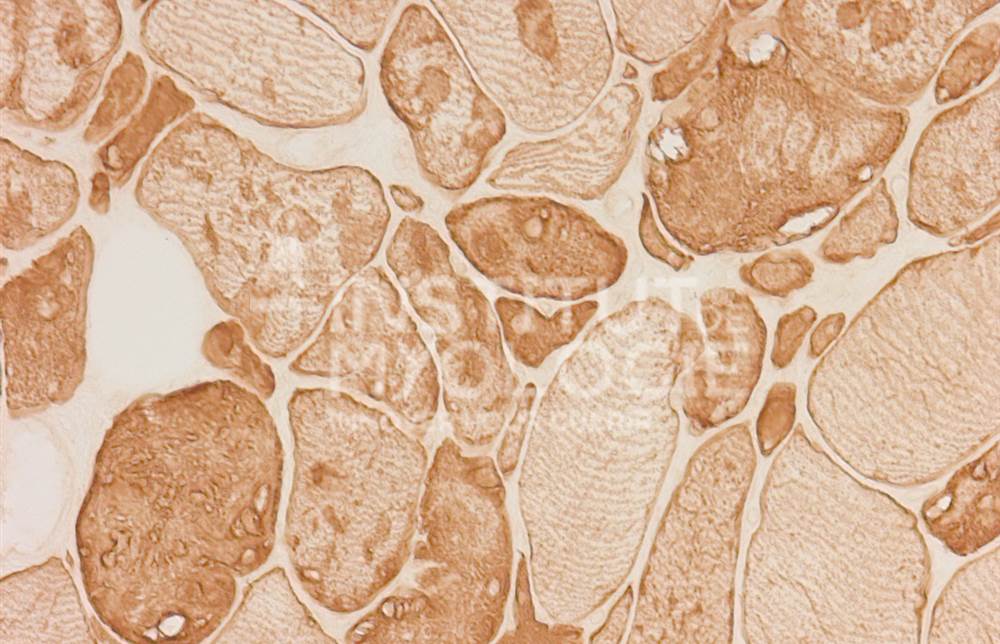
5283.tif 5284.tif 5285.tif 5286.tif
Results {{1 + (currentPage-1)*perPage}} - {{currentPage*perPage}} of {{filteredDocuments.length}}
Results {{1 + (currentPage-1)*perPage}} - {{filteredDocuments.length}} of {{filteredDocuments.length}}

You are welcome to use the Muscle Atlas images for your own research or publications. We kindly ask you to cite and mention the source as follows: "This work used data from the Muscle Atlas, which is supported by the Association Institut de Myologie and the AFM-Téléthon."

  • Disease Group: {{selectedDocument.DiseaseGroup}}
  • Diag Final: {{selectedDocument.DiagFinal}}
  • Gene: {{selectedDocument.Gene}}
  • Staining Method: {{selectedDocument.StainingMethod}}
  • Organism: {{selectedDocument.Organism}}
  • Age: {{selectedDocument.Age}}
  • Muscle: {{selectedDocument.Muscle}}
  • Sex: {{selectedDocument.Sex}}
  • Antibody reference: {{selectedDocument.AntibodyRef}}
  • Calibration: {{selectedDocument.Calibration}}
  • Magnification: {{selectedDocument.Magnification}}
  • Scale bar: {{selectedDocument.ScaleBar}}
  • Treatment: {{selectedDocument.Treatment}}
  • OMIM:
  • Mutated gene: {{selectedDocument.MutatedGene}}
  • Excluded genes: {{selectedDocument.ExcludedGene}}
Publications
{{selectedDocument.Publication_1}}
{{selectedDocument.Publication_2}}
{{selectedDocument.Publication_3}}
Similar images to your search